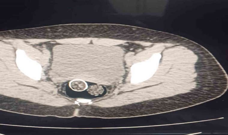
Denizli’de polisin düzenlediği uyuşturucu operasyonunda gözaltına alınan 5 şüpheliden 2’sinin yapılan iç beden muayenesinde rahim ve mideye saklanmış 320 gram uyuşturucu madde ele geçirildi.
Denizli İl Emniyet Müdürlüğü Narkotik Suçlarla Mücadele Şube Müdürlüğü ekiplerince, uyuşturucu ticaret yapan şahıs veya organizasyonların yakalanmasına yönelik operasyon düzenlendi. Düzenlenen eş zamanlı operasyonlarda 5 şüpheli şahıs yakalanırken, iki şahsın yaptırılan iç beden muayenesinde ve kullandıkları iki araçta yapılan incelemelerde rahimde ve midede uyuşturucu madde tespit edildi.
Operasyonda 6 parça halinde 320 gram metamfetamin maddesi, 1,6 gram afyon sakızı maddesi, uyuşturucu madde ticaretinden elde edildiği değerlendirilen 114 bin 430 TL, 12 bin 595 Euro, 300 dolar, 1 adet sahte pasaport ele geçirildi. Ayrıca yakalanan şüpheli şahıslardan 1 şahsın 6 yıl 8 ay kesinleşmiş hapis cezası ve 16 bin 600 TL adli cezası ile arandığı tespit edildi.
Yakalanan şüpheli şahıslar, “Uyuşturucu Madde Ticareti Yapmak” suçundan adli makamlara sevk edilen 2 şüpheli şahıs hakkında adli kontrol kararı verilirken; 3 şüpheli şahıs ise tutuklanarak cezaevine gönderildi.







Yorum Yazın
E-posta hesabınız sitede yayımlanmayacaktır. Gerekli alanlar * ile işaretlenmişdir.