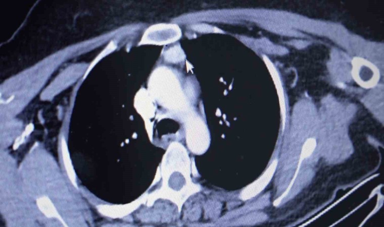
Amasya’da ayak tabanındaki yanma ve kaşıntıların giderek artması şikayetiyle hastaneye başvuran kadına, 100 binde 1 kişide görülen bir hastalığın teşhisi konuldu. Vücuda kalsiyum salgılayıp düzeyini kontrol eden 4 paratiroid bezinden biri, normalde olması gereken boyun yerine hastanın kalbinin üstünde bulundu. 3,4 kat büyümesiyle hastanın sağlığını tehdit eden kitle, başarılı bir ameliyatla alındı.
Amasya’nın Göynücek ilçesine bağlı Karaşar köyünde yaşayan evli ve 3 çocuk annesi Emine Şahin’in Amasya Üniversitesi Sabuncuoğlu Şerefeddin Eğitim ve Araştırma Hastanesi’nde yapılan kontrollerinde normalde boyun kısmında olan paratiroid bezlerinizden biri göğüs kafesi içinde kalbe yakın bir noktada tespit edildi. Amasya Üniversitesi Tıp Fakültesi Dekanı Prof. Dr. Cafer Polat, Dr. Öğretim Üyesi Suat Evirgen ve göğüs cerrahisi ekibinin katılımıyla gerçekleştirilen ameliyatla kitle vücuttan çıkarıldı. 50 yaşındaki hasta şikayetlerinden kurtularak sağlığına kavuştu.
Dr. Evirgen, “100 binde 1 kişide ender rastlanan ve bölgemizde ilk defa yapılan bir ameliyatı gerçekleştirdik. Çünkü Emine hanımın paratiroid adenomu normalde bulunması gereken boyun bölgesinde değil de göğüs boşluğu içindeydi. Bu bezler vücuda hormon salgıladığı için kemik erimesine, kanda kalsiyum artışına sebep oluyor. Bu tür hastalardaki şikayetlerin sebebi de zaten bu bezlerin büyümesidir” diye konuştu.
Evirgen, eski sağlığına kavuşan hastanın ses tellerinde de herhangi bir problemin bulunmadığını sözlerine ekledi.











Yorum Yazın
E-posta hesabınız sitede yayımlanmayacaktır. Gerekli alanlar * ile işaretlenmişdir.