İzmir Adnan Menderes Havalimanı’nda, uyuşturucuları prezervatifler içine koyup cinsel organına gizlediği tespit edilen Alman uyruklu genç kadın ile uyuşturucuları anüsüne yerleştirdiği belirlenen diğer Alman uyruklu erkek şahıs tutuklandı. Operasyonda gözaltına alınanlardan diğer 3 şüpheli ise adli kontrol şartıyla serbest kaldı.
Edinilen bilgiye göre olay, dün, İzmir Adnan Menderes Havalimanı’nda meydana geldi. İzmir İl Emniyet Müdürlüğüne bağlı Narkotik Suçlarla Mücadele Şube Müdürlüğü ekipleri, yurt dışından kentte uyuşturucu madde getirileceği bilgisinin edinilmesi üzerine operasyon başlattı.
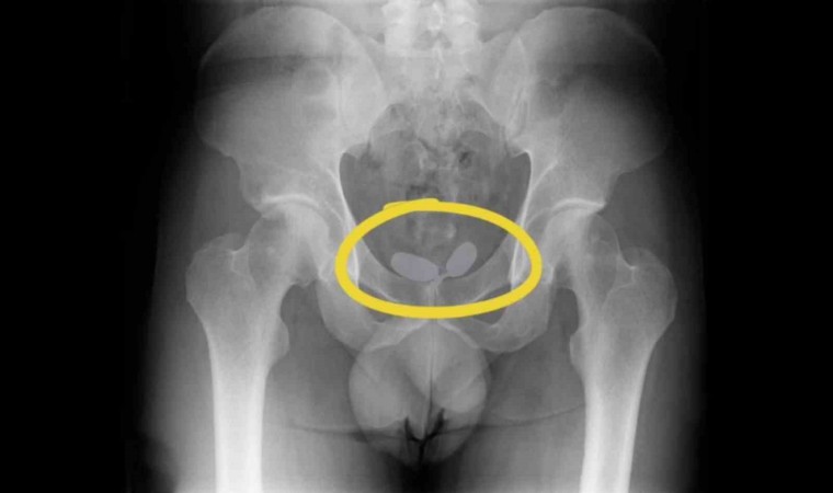
Kadının cinsel organından, erkeğin anüsünden uyuşturucu çıkmıştı
Alınan istihbarat doğrultusunda 2’si yabancı uyruklu toplamda 5 kişi yakalanarak gözaltına alınmıştı. Yapılan röntgen muayenesinde, uyuşturucu kaçakçılarının akıl almaz oyunu ortaya çıkarken, röntgen muayenesinde, Alman uyruklu kadının cinsel organında prezervatifler içerisine gizlenmiş uyuşturucular ele geçirildi. Diğer Alman yabancı uyruklu erkeğin ise uyuşturucuları anüsüne gizlediği belirlendi. Yapılan muayene sonrası; 21,19 gram eroin, 12,70 gram kokain, 7,76 gram amfetamin, 7 adet sentetik ecza ele geçirilirken, operasyon anları ise kameralara yansımıştı.
Tutuklandılar
Operasyonda yakalanan 2’si yabancı uyruklu olmak üzere 5 şüpheli, emniyetteki işlemleri tamamlandıktan sonra adliyeye sevk edildi. Şüphelilerden Almanya vatandaşı A.D.M. ve F.M. tutuklandı, diğerleri adli kontrol şartıyla serbest bırakıldı.









Yorum Yazın
E-posta hesabınız sitede yayımlanmayacaktır. Gerekli alanlar * ile işaretlenmişdir.