Şırnak’ta, Kalp ve Damar Cerrahisi Uzmanı Op. Dr. Volkan Burak Taban ve Genel Cerrahi Uzmanı Op. Dr. Serhat Binici, dalak arterinde oluşan 7 santimlik baloncuğu yaptıkları riskli ameliyatı başarı ile tamamlayarak 75 yaşındaki ve kronik birçok hastalığı olan Ayşe Ertur’u sağlığına kavuşturdu.
Mardin, Diyarbakır, Batman, Siirt, Gaziantep ve Şanlıurfa gibi birçok hastanede dalağının alınması gerektiği ancak dalağının alınması halinde de ameliyat masasından kalkamayacağı söylenen 75 yaşındaki Ayşe Ertur, birçok kronik rahatsızlığına rağmen Şırnak Devlet Hastanesi’nde geçirdiği başarılı ameliyat ile sağlığına kavuştu.
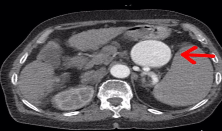
Yapılan ameliyat ile ilgili gazetecilere açıklamalarda bulunan Op. Dr. Volkan Burak Taban, hastanın gastroenteroloji kliniğinden kendilerine geldiğini, dalak arterinde ciddi bir anerizma şüphesinden bahsedildiğini söyledi. Değerlendirmeler sonrası ilaç tetkikleri istediklerini belirten Dr. Taban, "Yapılan tomografide teyzemizde dalak arterinde oldukça geniş dev diyebileceğimiz anerizmanın yani baloncuklaşmanın olduğunu gördük. Normalde dalak anerizması diyebilmemiz için baloncuklaşma diyebilmemiz için 20 milim yani 2 santimin üstüne çıkması lazım. Ama gördüğümüzde bizde şaşırdık. Çünkü yaklaşık 7 santimi geçen bir dalak anerizması vardı. Hastanın bu anerizmanın içerisinde tamamen kan dolduğu için her an patlama riski vardı. Allah korusun hastanın hayatını kaybetme riski ile de karşı karşıyaydık. Hasta ile ilgili hemen multidisipliner olarak bir değerlendirme yaptık. Hem gastroenteroloji, hem genel cerrahiden Serhat hocamız, hem radyoloji kliniğimiz ile beraber değerlendirme yaptık. Hastamızın 15 yıldır mücadele verdiği bir karaciğer sirozu da bizim kararlarımızda etkili oldu” dedi.
“Hasta Şırnak’ta tedavi olmak istedi”
75 yaşındaki hastanın Şırnak’ta ameliyat edilmesinin riskli olduğunu ve bu durumu hem hastaya hem de hasta yakınlarına söylediklerini aktaran Dr. Taban, "Hastamız ve yakınları yıllardır hastanemizde tedavi olmak istediler. Bizde hastamıza açık cerrahinin ilk etapta riskli olabileceğini düşündük. Çünkü karaciğer sirozuna bağlı ve diğer hastalıklara bağlı olarak kan değerlerinde inanılmaz derecede bir bozukluk vardı ve cerrahi oldukça riskliydi. Biz öncelikle anjiyo yoluyla kasıktan girerek dalak anerizmasına ulaşıp, dalak anerizmasının içerisini kapatmayı ve dalak damarına bir stent koyarak oradaki anerizmanın patlamasını engellemeyi çalıştık. Anjiyomuz yaklaşık 1,5-2 saat sürdü. Anjiyo salonuna aldık hastamızı, anjiyo sırasında ne kadar uğraşsak ta dalak damarı o kadar genişlemişki kendi etrafındaki damarlar ile beraber döndüğü için dalak damarını bir türlü kateterize edemedik. Dalak damarının içerisine ulaşsak da ardına ulaşamadık. Yaptığımız tekrar değerlendirmesinde hastamızın ameliyat edilmesinin daha doğru olacağını düşündük. Hastamızı açık cerrahi vakasına aldık. Açık cerrahi vakasında genel cerrahi ile birlikte, önce karından ufak bir keski ile girdik. Girdiğimizde karşılaştığımız manzara aslında tomografide gördüğümüz manzaradan veya anjiyoda gördüğümüz manzaradan daha da kötü haldeydi. Dalak damarı anerizmasını onararak hastamızı ameliyattan çıkardık. Ameliyat sonrasında da hastamızın bir yoğun bakım ihtiyacı olmadı. Servise aldık. Bundan sonraki değerlerimize baktığımızda da ciddi bir kan ihtiyacı olmadı. Daha sonraki kontrol kanlarımızda gayet iyi olduğu gözüküyor" dedi.
Annesini tedavi etmek için birçok yere götürdüklerini ancak olumlu herhangi bir sonuç alamadıklarını dile getiren Kamil Ertur, “Hocalarımız çok iyi ameliyat geçirdiler. Allah’a çok şükür, ellerine sağlık, onlara teşekkür ediyorum. İyi ki Şırnak’ta böyle hocalarımız var. Diyarbakır, Mardin, Batman, Adana’ya götürdük. Buralarda ’eğer dalak sökülürse yataktan kalkmaz’ dediler. Allah’a çok şükür Volkan hoca ve Serhat hocamız böyle başarılı bir operasyon yaptılar" şeklinde konuştu.













Yorum Yazın
E-posta hesabınız sitede yayımlanmayacaktır. Gerekli alanlar * ile işaretlenmişdir.