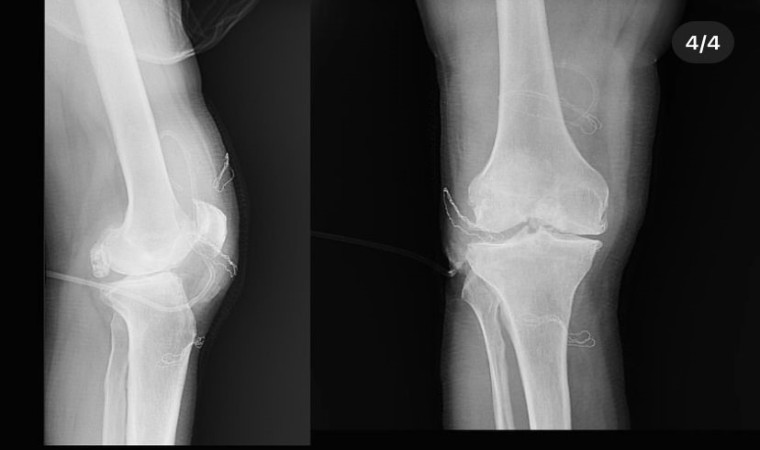
Düzce Üniversitesi Tıp Fakültesi Hastanesi Ortopedi ve Travmatoloji Kliniği’nde gerçekleştirilen operasyonda, eklem faresi olarak da bilinen multipl sinovial kondromatozisi başarılı geçen ameliyatla artroskopik olarak çıkartıldı.
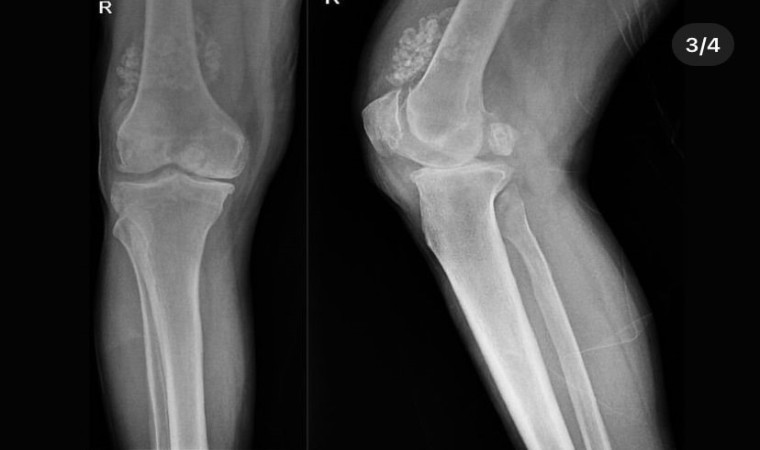
Diz ağrısı şikayeti ile geldiği Düzce Üniversitesi Tıp Fakültesi Hastanesi’nde ameliyata alınan hastanın dizlerinden toplam 41 adet multipl sinovial kondromatozisi çıkartıldı. Özellikle diz eklemi çevresinde görülmekle birlikte kalça, dirsek ve diğer eklemlerde de görülen, ufak parçalardan oluşan cisimler olarak tanımlanan eklem faresi, eklem çevresinde eklem sıvısı ya da sinoviyumda görülen kıkırdak ya da kemik parçalarıdır. Eklem farelerinin boyutları birkaç milimetreden birkaç santimetreye kadar çıkabiliyor.
Düzce Üniversitesi Tıp Fakültesi Hastanesi Ortopedi ve Travmatoloji Kliniği’nde başarılı geçen operasyonu; Doç. Dr. Zekeriya Okan Karaduman, Doç. Dr. Mehmet Arıcan ve Dr. Öğr. Üyesi Sönmez Sağlam gerçekleştirdi.







Yorum Yazın
E-posta hesabınız sitede yayımlanmayacaktır. Gerekli alanlar * ile işaretlenmişdir.