Sivas’ta çenesinde apse şikayetiyle Ağız ve Diş Hastalıkları Hastanesine başvuran 43 yaşındaki hastaya nadir bir tedavi yöntemi uygulandı. 3D yazıcı cihazı ile çene modeli çıkarılan hasta, bu uygulama sayesinde sağlığına kavuştu.
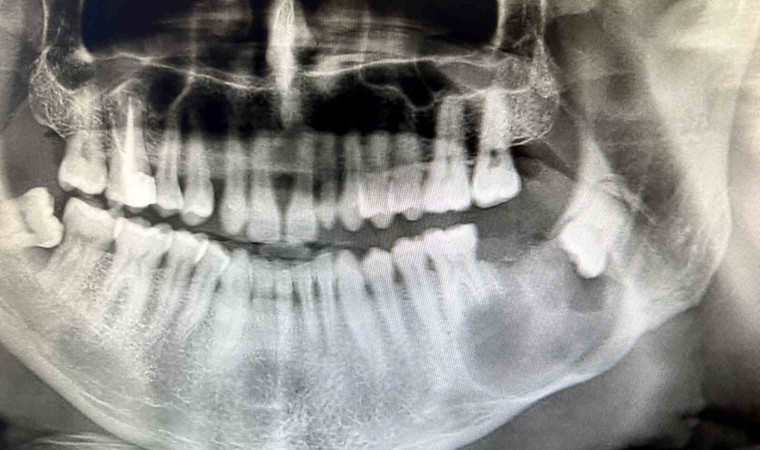
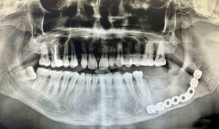
Sivas Ağız ve Diş Hastalıkları Hastanesinde benzerine az rastlanan bir ameliyat gerçekleştirildi. Çenesinde ileri derecede apse şikayetiyle hastaneye başvuran 43 yaşındaki hasta, uygulanan yöntemle sağlığına kavuştu. 37 numaralı dişi çekilen hastanın tomografi görüntüleri alındı. Hastanın 3D yazıcı sistemi ile çene modeli oluşturuldu. Oluşturulan 3D çene modeli üzerinde titanyum plak uyarlaması yapıldı. Uyarlamanın ardından Ağız, Diş ve Çene Cerrahisi Uzmanı Yunus Balel, genel anestezi altında hastayı ameliyat ederek, titanyum plak işlemini hastaya uyguladı.
Türkiye’de bu uygulamanın çok sık yapılmadığını ifade eden Ağız, Diş ve Çene Cerrahisi Uzmanı Yunus Balel, “Hastamız, sol alt çenede apse şikayeti ile başvurdu. Yaptığımız inceleme sonucu gömülü 20 yaş dişin etrafında büyük bir kist olduğunu tespit ettik. Hastayı genel anestezi altında opere etmeye karar verdik. Kisti temizledikten sonra çene çok zayıf kaldı. Hastanın çenesinin kırılmaması için büyük bir plak takmak zorunda kaldık” dedi.
Yapılan bu işlemin Ağız ve Diş Sağlığı Hastanelerinde rutin olarak yapılmadığını ifade eden Balel, şu ifadelere yer verdi:
“Bu uygulama, Sivas gibi genel anestezi ünitesi olan hastanelerde nadir yapılan işlemlerdendir. Bu kistler sınırsız büyüme potansiyeline sahiptir. Biz hastamızı geç evrede yakalamışız. 3D modelleme fikri benim aklıma geldi. Kullandığımız plak titanyum malzeme. Bu plağın bükümü ameliyat esnasında çok zor. Yaklaşık yarım saat süren bir durum. Bu da hastanın fazla süre entübe olmasına neden oluyor. 3 boyutlu bir model ürettik. Ağız dışında plağı uyumladık, ameliyat esnasında da 5 dakika uğraşarak uyumlamalara devam ettik. Bu model işimizi yarım saat ile 1 saat arası kolaylaştırdı.”
Sivas Ağız ve Dış Sağlığı Hastanesi Başhekimi Diş Hekimi Fuat Şen, bu uygulamanın Sivas’ta yapılmasının bölge için bir şans olduğunu dile getirerek, “Ameliyat yaklaşık 2 saat sürdü. Bu çok uygulanan bir ameliyat değil. Bu ameliyat ile hastamıza hem maddi hem de süre anlamında kolaylık sağlanmış oldu. Hastamız sağlığına kavuştu, kendisini taburcu ettik. Ağız ve Diş Sağlığı Hastanesi olarak uzman sayımızı artırarak bu tip işlemleri yapabilmek için çaba harcıyoruz. 2018 yılından bu yana genel anestezi altında zihinsel ve bedensel engelli hastalarımız ile çocuklarımızın da tedavilerini yapmaya başladık. Şu anda bölgemize hizmet veren bir hastaneyiz” dedi.












Yorum Yazın
E-posta hesabınız sitede yayımlanmayacaktır. Gerekli alanlar * ile işaretlenmişdir.